안녕하세요!
부천중동치과
이보다치과 대표원장 배태현 입니다.
치과에서 가장 흔하게 듣는
문의 중 하나가 바로
"예전에 때운 금니(인레이)가 빠졌어요"
입니다.
금은 참 좋은 재료지만,
시간이 오래 지나면 치아와의
접착력이 약해지거나 그 틈으로 충치가 생기면서
탈락하는 경우가 많습니다.
오늘은
금 인레이 탈락으로 내원하셨다가,
인접 치아의 숨은 문제까지 발견하여
함께 해결한 30대 여성 환자분의 사례를
소개해 드리겠습니다.
환자분께서는
오른쪽 위 큰 어금니(#17)의
금 인레이가 빠진 상태로 내원하셨습니다.
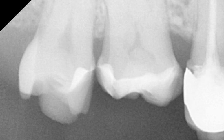
금 인레이가 왜 떨어졌는지 확인해보니
안타깝게도 인레이 하방으로 2차 충치가 진행되어 있었고,
그 영향으로 치아 일부분도 깨져나간(파절) 상태였습니다.
다행히 파절 범위가 아주 넓지는 않아
전체를 씌우는 크라운 대신,
치아 삭제를 최소화하는 세라믹 수복이 가능한 상황이었습니다.

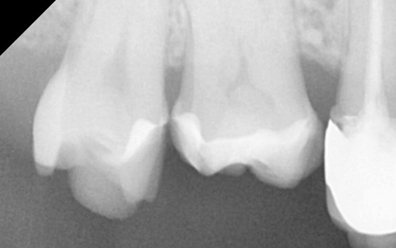
25.11.11 #17 치아의 금 인레이가 탈락하고 충치가 발생한 모습.

25.11.11 앞쪽 어금니(#16) 금 인레이 하방에서 발견된 충치
문제가 된 큰 어금니를 치료하던 중,
바로 앞쪽 어금니(#16)의 상태도
심상치 않음을 발견했습니다.
이 치아 역시 금 인레이가 되어 있었는데,
틈새로 비쳐 보이는 내부가
이미 충치로 오염되어 있었습니다.
환자분께 현 상태를 설명해 드리고,
나중에 더 큰 통증이나 파절로 이어지기 전에
함께 치료하기로 했습니다.
앞쪽 어금니는 인레이를 제거해 보니
충치 범위가 넓어, 치아의 씹는 면을
전체적으로 보호해 주는
'세라믹 오버레이(Overlay)'를 적용하기로
결정했습니다.

25.11.11 금인레이 제거 후 모습
이보다치과에서는
보철물의 수명을 결정짓는
'접착' 단계에서 절대 타협하지 않는 원칙이 있습니다.
러버댐(Rubber Dam) 장착
치료 부위를 입안의 습기와 침으로부터
완벽하게 격리합니다.
세라믹 접착제는 수분에 매우 민감하기 때문에,
러버댐 없이 진행하는 접착은
보철물의 탈락이나 2차 충치의 원인이
될 수 있습니다.

25.11.11 러버댐 장착 후 레진 코팅을 시행한 모습
레진 코팅(Resin Coating)
본을 뜨기 전, 노출된 상아질을
레진으로 얇게 코팅하여 신경을 보호하고
접착력을 극대화합니다.
이 과정을 거치면 치료 후 시린 증상이 현저히 줄어듭니다.

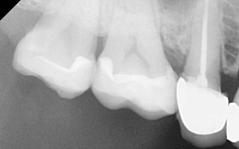
25.11.11 레진 코팅 후 엑스레이 사진
약 일주일 뒤,
기공소에서 정교하게 제작된
세라믹 수복물이 도착했습니다.

25.11.19 접착 준비
다시 한번
러버댐을 장착한 상태에서 정밀하게 접착을
마무리해 드렸습니다.
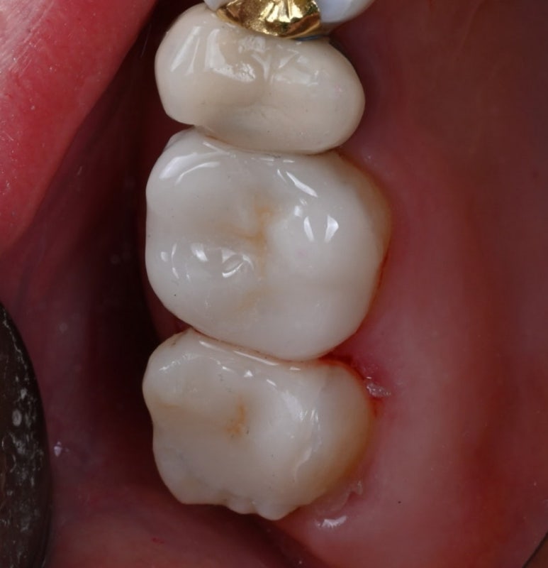
환자분께서는 자기 치아처럼
자연스러워진 모습에 매우 만족해하셨습니다.
치료 후 현재까지 별다른 불편함 없이
아주 잘 사용하고 계신다는 소식을 전해주셨습니다.

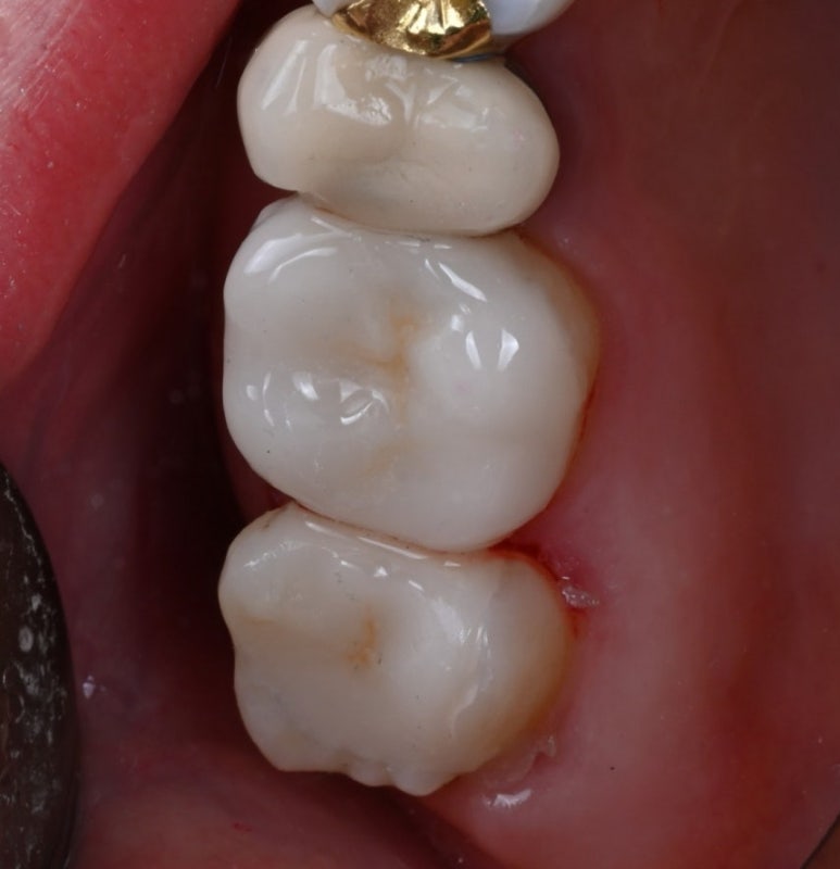
25.11.19 접착 후

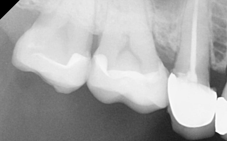
25.11.19 접착 후 엑스레이

25.11.19 교합조정까지 마친 후
금니가 떨어졌을 때,
단순히 다시 붙이는 것보다
왜 떨어졌는지 원인을 파악하는 것이중요합니다.
이보다치과는 당장의 문제 해결은 물론,
주변 치아와의 조화와 장기적인 예후까지
고려하여 진료합니다.
혹시 예전에 치료받은 보철물 주변이
검게 보이거나 흔들린다면,
미루지 말고 검진을 받아보시길 권유드립니다.
감사합니다!
https://blog.naver.com/ebodadentalclinic/224211745682
네이버 블로그에 오시면 더 다양한 케이스들을 보실 수 있습니다
.png?type=w773)