안녕하세요.

 

부천 이보다치과 대표원장 배태현 입니다.

 

 

치아미백은 미백제를 이용하여 치아를 하얗게 만드는 것입니다.

 

미백 과정 동안 계속 얼굴을 가리고 하기때문에

입안에서 어떤일이 벌어지고 있는지

궁금하신 분들이 있으실텐데요.

 

 

그런 분들을 위해

오늘은 30대 남성 환자분의 치아 미백 케이스를 통해

치아 미백이 어떤 과정으로 이루어지는지

알아보도록 하겠습니다.

 

 

 

 

< 치아미백 과정 >

 

1. 현재 치아색상 확인

2. 잇몸 보호제 적용

3. 치아미백제 도포

4. 미백된 치아색상 확인

5. 필요에 따라 미백제 도포 과정을 1~2회 더 시행

 

 

 

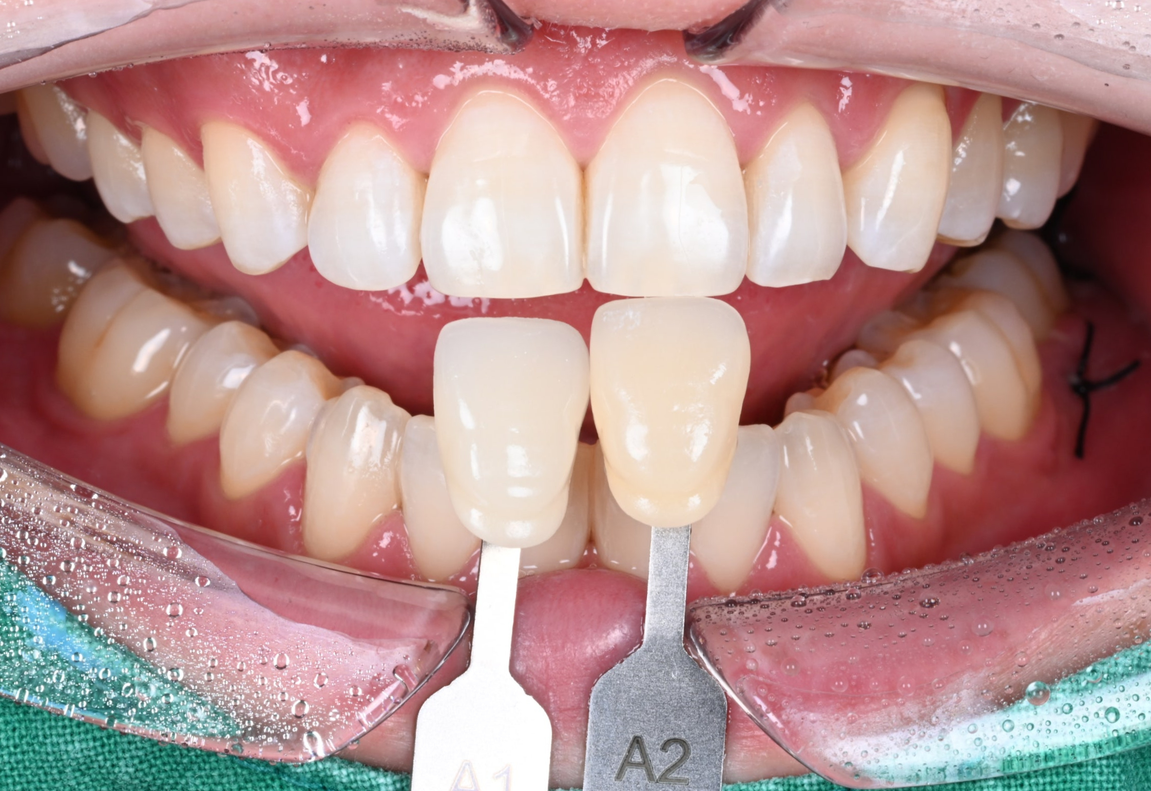
미백 전 치아 색상 확인

 

쉐이드 가이드

 

치과에서는 치아 색상을 맞추기위해

'쉐이드 가이드' 라는 것을 사용합니다.

치아색상의 기준이 되는 표라고 할 수 있습니다.

 

숫자가 클수록 치아가 어둡거나 노랗게 보이는데

보통은 A2~A3 정도의 색상을 가지고 있습니다.

 

현재 A2정도의 색상이라면

미백제 도포 1~2회A1에 가까운 색상으로 밝아집니다.

 

현재 색상이 어두울 수록

미백제 도포 횟수는 늘어나는데

평균적으로 3회 정도만 해도 A1에 가깝게 밝아집니다.

(개인의 치아상태에 따라 횟수는 달라질 수 있습니다.)

 

 

실제 환자분 케이스, 미백 전 (25.04.01)

 

실제 환자분의 구내사진입니다. A2와 A3의 중간정도의 밝기 입니다.

 

 

 

잇몸 보호제 적용

 

치아미백에 사용하는 미백제는 고농도의 과산화수소를 사용하기 때문에

잇몸에 닿을 경우 상처가 생길 수 있습니다.

 

 

  치아미백 시 사용하는 잇몸 보호제

 

그래서 먼저 잇몸보호제를 잇몸에 깔아줍니다.

그 후 치아에 미백제를 도포합니다.

 

 

 

잇몸 보호제를 적용한 모습

 

개구기를 착용하고 잇몸 보호제를 적용한 사진입니다.

(제가 직접 미백을 받을때 촬영한 것입니다.)

 

 

 

 

치아미백제 도포

 

미백제 도포 후 모습

 

광조사기 적용

 

 

미백제를 도포 후 20분 동안 유지를 하고

미백제를 씻어냅니다.

 

미백 된 치아 색상을 확인 후 추가로 미백을 더 진행할 것인지

여기서 미백을 마무리 할 지 결정합니다.

 

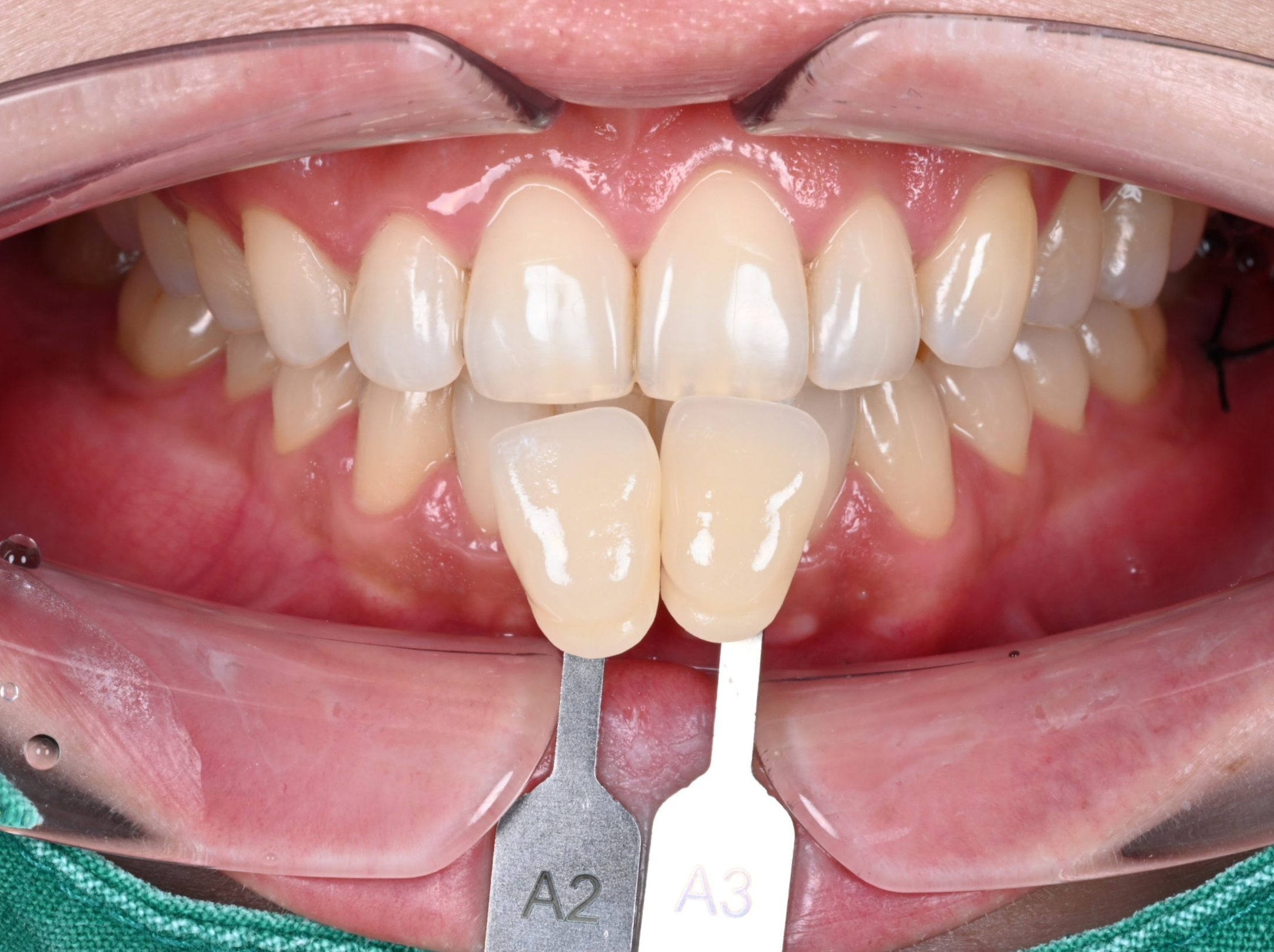
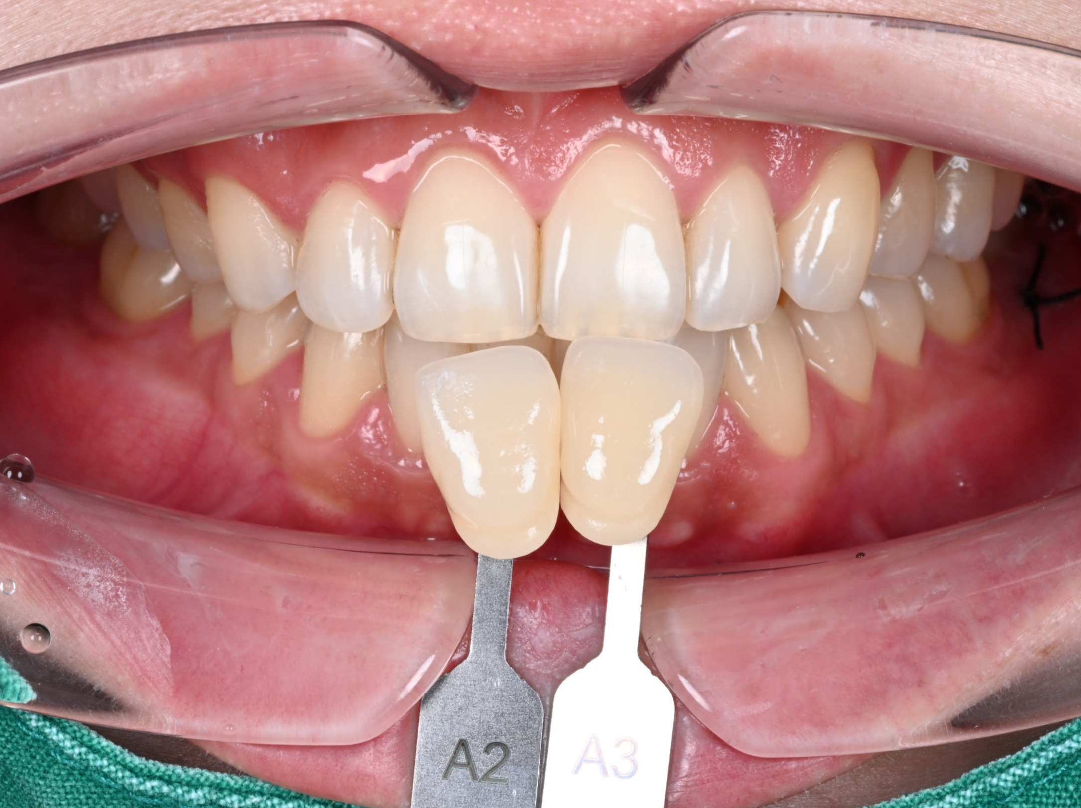
이번 케이스의 환자분은 총 2회 미백을 받으셨습니다.

 

 

실제 환자분 케이스, 미백 전 (25.04.01)

 

실제 환자분 케이스, 미백 후 (25.04.01)

 

A2~3 정도 색상에서 A1까지 밝아진 것을

확인할 수 있었습니다.

 

 

 

 

미백 소요시간

 

잇몸보호제 적용 + (미백제 도포 1회당 20분 x 2회) + 치아 세척 후 마무리

= 약 60분

총 2회 미백을 하시면서 소요시간은 약 1시간정도 였습니다.

 

 

 

미백 효과를 높이고 싶다면?!

미백 효과를 높이고 싶다면 필요한 것은

우선 치아를 깨끗하게 청소하는 것입니다.

치아 주변 치석 및 치아 표면에 있는 바이오필름을 깨끗하게 제거해야

미백제가 치아에 더 잘 스며들기 때문에

보통 미백 전에 스케일링을 시행하고 있습니다.

 

 

 

오늘은 치아미백과정과 소요시간에 대해 알아보았습니다.

평소 미백과정에 대해 가지고 계셨던 궁금증이 많이 해소되셨을까요?

 

 

오늘 내용이 많은 도움이 되셨으면 합니다.

감사합니다!