안녕하세요.

부천중동치과 이보다치과 대표원장 배태현 입니다.

 

 

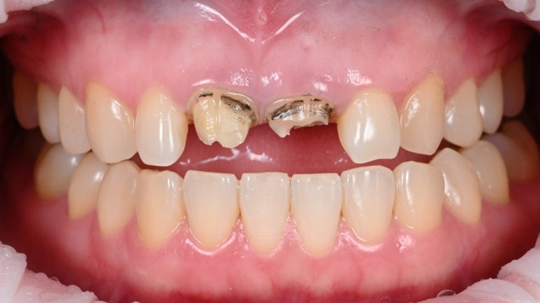
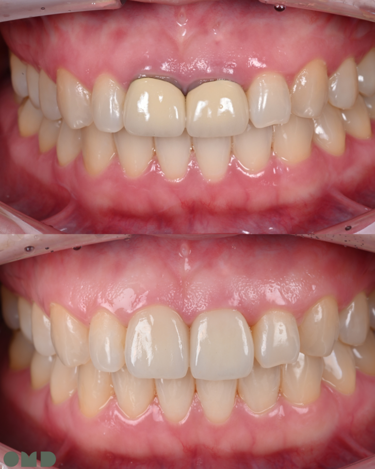
"앞니 크라운이 오래되서 신경 쓰여요..."

 

 

30대 여성 환자분께서 앞니 크라운 때문에 내원해주셨습니다.

 

오래전 타치과에서 가운데 앞니 두 개에 신경치료와 크라운 치료를 받으셨는데,

시간이 지나면서 잇몸이 내려가 내부 치아가 드러난 상태가 되었고,

심미적으로 만족스럽지 않다고 하셨습니다.

 

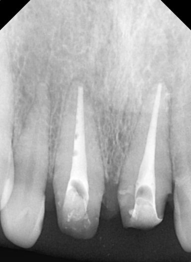
25.08.04 첫 내원

 

 

 

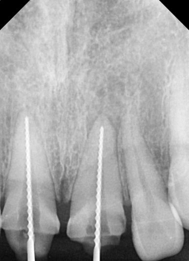
엑스레이 검사 결과, 뿌리 끝에는 염증도 생겨 있었습니다.

단순히 겉모습의 문제만이 아니라, 치아 뿌리 쪽도 치료가 필요했던 상황이었습니다.

 

                 

                                              

 

 

 

BOPT 컨셉이란 무엇일까?

 

치료는 재신경치료와 BOPT컨셉을 이용한 크라운 재치료로 계획했습니다.

 

" BOPT "

(Biologically Oriented Preparation Technique)

 

치아와 잇몸은 서로 맞닿는 부분이 아주 중요한데, 시간이 지나면

잇몸이 내려가면서 크라운 경계가 드러나는 경우가 많습니다.

BOPT는 이런 문제를 줄이기 위해, 크라운 경계와 잇몸이 자연스럽게 어울리도록 설계하는 방법입니다.

 

"기존 크라운 제작 방식과 BOPT 컨셉 비교" 

출처: Clinical behavior of posterior fixed partial dentures with a biologically oriented preparation technique: A 5-year randomized controlled clinical trial

 

치아와 잇몸이 부드럽게 이어지도록 만들어주기 때문에,

시간이 지나도 경계선이 잘 드러나지 않고 더 자연스러운 결과를 기대할 수 있습니다.

 

 

 

 

치료 과정

 

1. 임시치아 제작

 

먼저 현재 상태에서 본을 떠 기공소에 의뢰했고, 

BOPT 컨셉에 맞는 임시치아를 제작했습니다.

 

 

임시치아 제작과정

 

 

 

 

2. 기존 크라운 제거 & 재신경치료 시작

 

기존 크라운을 제거하고 내부 충치를 정리하며 재신경치료를진행했습니다.

 

25.08.11

 

25.08.11 기존 크라운 제거 후 모습

 

 

신경 치료 과정

 

 

 

 

3. 임시치아 장착 & 잇몸 적응 확인

 

기존 크라운을 제거한 날, 치아를 다듬고 기공소에서 제작한 임시치아를 장착합니다.

그리고 신경치료를 진행하는 동안 중간중간 잇몸이 새로운 크라운 형태에 잘 적응하는지 체크했습니다.

약 3주의 기간 동안 크라운 주변 잇몸이 잘 적응한 것을 확인 할 수 있었습니다.

 

25.08.11 임시치아 장착

 

25.09.04 임시치아 장착 약 3주 후

 

 

 

 

4. 신경치료 완료 후 최종 본뜨기

 

 

신경치료가 마무리되고, 잇몸도 최종 크라운 제작에 적합한 상태로 회복되었습니다.

 다시 본을 떠 기공소에 최종 크라운 제작을 의뢰합니다.

 

 

크라운 제작과정

 

완성된 크라운

 

 

 

 

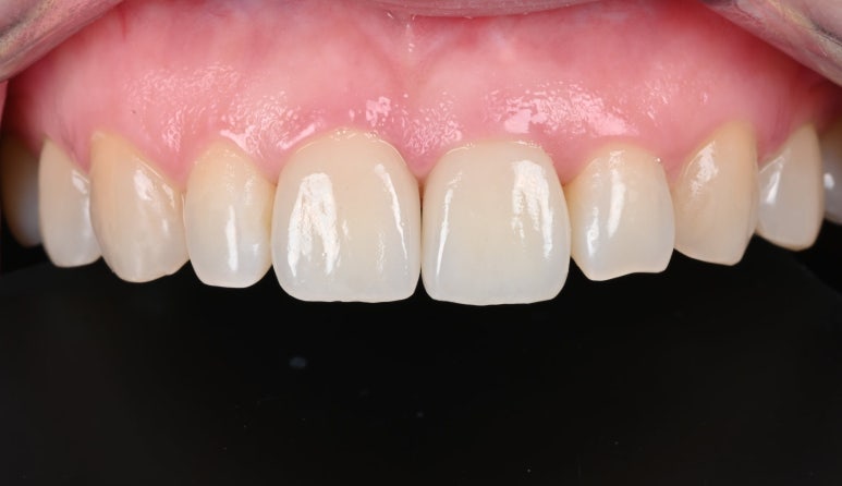
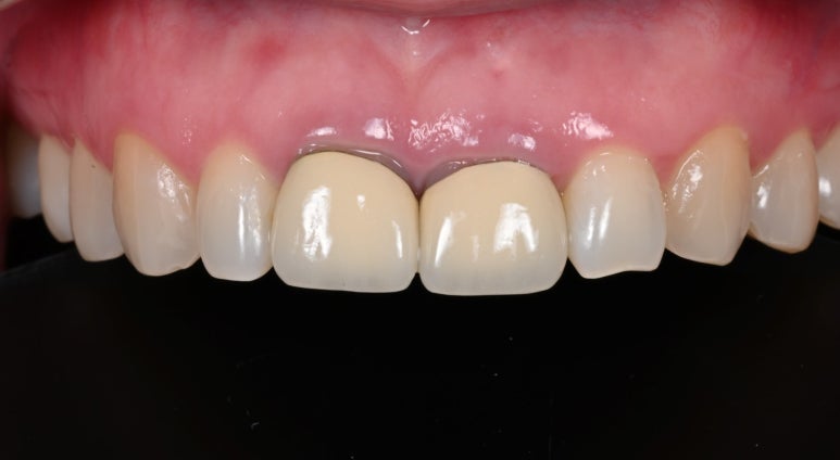
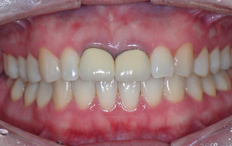
5. 최종 크라운 장착

 

새로 제작된 크라운을 장착합니다.

환자분께서 색상과 모양에 만족해하셔서 특별한 수정없이

치료를 마무리할 수 있었습니다.

 

 

25.09.11 치료 후

 

 

 


 

앞니 크라운은 심미적으로 가장 눈에 띄는 부위라 

작은 차이에도 만족도가 크게 달라집니다.

 

이번 케이스는 단순히 빠르게 크라운을 교체하는 대신

 

재신경치료 -> 임시치아 단계 -> 잇몸회복 -> 최종 크라운 이라는 단계를 차근차근 밟아갔습니다.

 

치료 기간은 거의 한달이 걸렸지만, 그만큼 안정적이고 자연스러운 결과를 얻을 수 있었습니다.

 

 

저희 이보다치과는

시간이 조금 더 걸리더라도, 차근차근 제대로 치료하는 것

결국 환자분께 가장 만족스러운 결과를 드린다고 믿고있습니다.

 

오늘 내용이 많은 도움이 되셨으면 좋겠습니다.

 

감사합니다!!